受到一票華人女星如Angelababy都說只是靠牙齒矯正就從原本的圓臉變瓜子臉,所以台灣很多女生普遍有一個觀念,就是可不可靠戴牙套讓臉變瘦一點?或者也有本身臉就很瘦的人會擔心矯正後臉會不會變凹?到底要如何判斷牙齒矯正完後臉型的變化呢?
以下的判斷方式是一個我個人的經驗法則,但也是有例外的,畢竟臉的胖瘦還牽扯到咀嚼肌和和臉頰脂肪厚度,戴牙套只是其中的一個影響因子。大致的判斷方法,就是自己原始的臉型和咬合。假設原來的下巴是短的、後縮的(如圖一左小圖),那做完矯正臉型比較有可能會變瘦,典型的例子就是知名香港藝人Angelababy(如圖二)。假設本來就是下巴尖長的人譬如知名綜藝節目主持人小S(如圖六),或者咬合是開咬的偏長臉型的人(如矯正病例四,圖八和圖九),那做完矯正通常臉是不會再變瘦的,其實也不適合再變瘦了,因為再變瘦臉可能就會顯的臉凹,有點老態。
圖一 假設原始臉型是像左小圖下巴後縮的病人,若是暴牙矯正有後退前牙比較多的狀況,因嘴部變平下巴會有相對出來的效果,做完矯正後比較可以期待臉型會變瘦一點(類似墊下巴效果)。若只是牙齒排列整齊,沒有特別後退前牙,沒有嘴部變平,則下巴改變可能就不大。
圖二 原本是短圓下巴的Angelababy,做完牙齒矯正後變成有尖細下巴的瓜子臉美女。我仔細看過她現在有露齒大笑的照片,確定她應該是拔了四個小臼齒做牙齒矯正的,故她下巴的巨大變化,可能來自於大幅後退前牙,嘴部變平,下巴相對出來,類似下圖三的病例一。
圖三 病例一牙齒矯正前(左圖)與矯正後(右圖)的正面臉型輪廓變化。前後變化是只有做牙齒矯正的效果,矯正治療為拔小臼齒+上顎骨釘後退前牙。原本矯正前是暴牙、深咬、下巴後縮, 所以要閉唇都須要下巴肌肉出力才可以閉合,下巴附近的皮膚會皺皺一團,矯正後因為暴牙大幅改善,觜唇須要包覆的牙齒顎骨組織距離變短,可以輕鬆閉唇了,下巴附近的皮膚變平滑,漂亮很多。
圖四 病例一牙齒矯正前(左圖)與矯正後(右圖)的側臉輪廓變化。因暴牙改善,嘴部變平,下巴相對較不後縮,下巴尖到下唇的距離變短(藍色線所示,藍色線長短左圖<右圖),軟組織包覆牙齒距離變短,故觜唇閉合變輕鬆,不會有閉唇時下巴肌肉需要出力的狀況。
圖五 病例二。原本暴牙、下巴後縮的病人矯正前(左圖)和矯正後(右圖)臉型正面輪廓變化比較圖。
圖六 病例二。原本是暴牙、下巴後縮的病人矯正前和矯正完成後臉型側面輪廓變化比較圖。與病例一相同,嘴凸大幅改善後下巴相對不後縮,閉唇變輕鬆。
圖七 原本就有尖細下巴的小S,做完矯正臉型的變化沒有太大。小S這種變化現在可能不須要拔牙,用骨釘做全齒列後退就可以做到。但還臨床上還須要評估牙齒擁擠程度和病人對輪廓外觀的要求等多項因素來決定治療計畫。
下面來看一個原本類似小S偏長臉型的病人矯正前後臉型的變化(病例三,圖七)。
圖八 病例三。原本是深咬、但臉型較長的病人矯正前和矯正後臉型變化。她本來笑的時候會露牙齦(右圖,簡稱笑齦),代表上顎骨的垂直長度是比較長的,矯正後笑齦改善,上顎牙齒露出的垂直距離變短(需要用骨釘做上顎前牙的往上壓入),視覺比例上感覺中臉部變短。臉型變短會有臉變圓潤稍胖一點的感覺 。所以”不是”所有的病人矯正都會臉變長、變瘦!
想看病例三矯正最後完成的樣子也可以參考點閱下面這個連結:牙醫師也不太知道的暴牙與笑齦牙齒矯正的真相。她矯正前後的正面與側面輪廓照分別是文章中的圖十一和圖十二,文章中圖十二的文字解說也詳細說明為何有些笑齦的矯正會造成中臉部比例變短。
接下來再看一個原本是長臉型(垂直向,正面照片臉型偏長),咬合是開咬的病人(病例四,圖八和圖九)矯正前和矯正後臉型的變化圖。
圖八 病例四矯正前(左圖)與矯正後(右圖)的正面臉型。原本是長臉型,暴牙,還合併開咬。矯正後可以發現下巴比例稍變短。
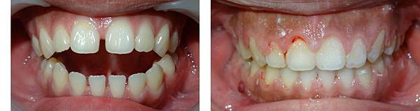
圖九 病例四之病人矯正前(左圖)和矯正後(右圖)的牙齒正面咬合照片,從原本很嚴重的開咬,變成有正常垂直覆蓋的咬合了。
從上面兩個藝人和四個實際病人的例子可以歸納:原本是偏短臉型、下巴後縮的病人,矯正瘦臉的效果才會比較顯著。本來偏長臉型有笑齦的病人(病例三),因為中臉部垂直長度本來比較長,若有打骨釘做上顎前牙的壓入,做完矯正反而感覺臉型是從本來的長馬臉變得比較圓潤的短臉;長臉型合併有開咬(病例四)的病人,咬合閉合後通常下臉部的垂直長度變短,臉型也可能會稍微變短,這也是下巴逆時針方向旋轉的結果。想知道下巴逆時針旋轉是如何帶動矯正後臉型變短的可以點閱下面這篇文章:牙醫師也不太知道的暴牙與笑齦牙齒矯正的真相。
所以如果是為了想copy女明星的激瘦瓜子臉才想來戴牙套做牙齒矯正,可以先看看自己原來的臉型和下巴輪廓和咬合條件,會稍微可預估矯正後臉型的變化能不能達到想要的訴求。
有興趣瞭解更多牙齒矯正資訊和個人客製矯正治療計畫的諮詢,請致電02-22511246到我目前駐診的新北市板橋米蘭時尚牙醫診所(地址:新北市板橋區仁化街40號,江子翠站5號出口步行3分鐘),由診所小姐會安排諮詢時間,電話中需指定看診醫師。
